【特集】地域の高齢化に応える脳神経外科診療

【特集】地域の高齢化に応える脳神経外科診療

戸塚共立いずみ野病院

脳神経外科部長
小佐野 靖己(おさの せいき)医師

専門分野
脳神経外科

資格
日本脳神経外科学会専門医・指導医
日本脊髄外科学会認定医
脊椎脊髄外科認定医   
日本脳卒中学会専門医・指導医
日本がん治療認定医機構がん治療認定医

はじめに

2025年4月より、戸塚共立いずみ野病院で脳神経外科の診療を開始しました。当院は横浜市泉区に位置し、3年前に現院長が就任して脳神経内科を開設するまでは整形外科とリハビリテーションを中心に地域医療を担ってきました。今回、脳神経外科が加わったことで、脳・神経から脊髄まで専門的かつ包括的な診療体制が整いました。
泉区および周辺地域では高齢化がより早く進行しています。
この半年間の診療経験をふまえ、地域住民に特に周知すべき3つの疾患領域について、当科が注力する取り組みをお伝えします。

その① 頭部打撲・慢性硬膜下血腫

「頭をぶつけた」という理由で受診される方は非常に多く、当院でも4月から9月までに約200人を診察しました。そのうち5人に「慢性硬膜下血腫(頭を打って数週間~数ヶ月後に血がたまる病気)」が見つかっています。
高齢で血液サラサラの薬を飲んでいる方は特に注意が必要です。早期に発見できればお薬で治ることもありますが、進行して歩行障害や認知機能低下が出ている場合は、局所麻酔による手術(穿頭血腫ドレナージ)を行います。当科ではより負担の少ない手技(手動ツイストドリルで頭蓋骨に直径3mmの穴を開けてドレーンを留置し、通常5分程度で終了)を採用しています。

慢性硬膜下血腫

その② 正常圧水頭症

「歩くのが遅くなった」「尿の失敗が増えた」「物忘れが
気になる」。これらは単なる「年のせい」や「認知症」として
見過ごされがちですが、実は治療可能な「正常圧水頭症」
の可能性があります。
当科ではCTやMRIだけでなく、腰椎穿刺を行い、髄液を少し抜いて症状が改善するかどうかを評価します(タップテスト)。また、治療が必要と判断した場合、「L-Pシャント術(腰椎-腹腔短絡術)」を第一選択としています。

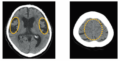
正常圧水頭症

不均等なくも膜下腔開大を有する水頭症

これは、頭蓋骨に穴を開けて脳に管を通す一般的な手術(V-Pシャント)とは異なり、脳には一切触れず、腰(脊椎)からお腹へと髄液を流す管を設置する方法です。脳への直接的な操作がないため、身体への負担が非常に少なく、高齢者でも安心して受けていただける点が大きな特徴です。歩行や生活機能を取り戻せる方を見逃さないよう、丁寧な診断と低侵襲な治療を心がけています。

その③ 脊髄・末梢神経疾患と、今後の展望( 低侵襲手術への挑戦)

手足のしびれや痛みは、脳の異常よりも首や腰(脊椎)あるいは手足の神経の通り道が狭くなることで生じる場合が少なくありません。私は脊椎脊髄外科専門医としての視点を活かし、手根管症候群や足根管症候群、頚椎症、腰部脊柱管狭窄症などの診断と治療にも力を入れています。
現在は、正確な診断に基づく保存療法および末梢神経剥離術を中心に治療を行っていますが、将来的には、筋肉や骨、神経への負担をできる限り抑えたより低侵襲な脊椎脊髄手術(顕微鏡手術)の提供も視野に入れ、診療の質の向上に継続して取り組んでいます。

腰部脊柱管狭窄症(外側型・椎間孔狭窄)

おわりに

脳神経外科の開設により、脳卒中や頭部外傷の急性期から脊椎脊髄疾患の診断治療、そして回復期リハビリテーションまで真に一貫した診療が可能となりました。
高齢の患者様が多い当院だからこそ、身体に優しく、早期に生活へ復帰できる手術体制の構築を目指し、病院全体への働きかけと環境整備に挑戦してまいります。